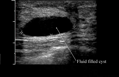
Ultrasound of a Simple Breast Cyst

Image of a simple breast cyst

Courtesy of Intermountain Medical Imaging, Boise, Idaho.

This ultrasound picture shows a simple cyst with normal breast tissue around it. Because this type of cyst usually does not have any tissue or other particles in it, your doctor knows that it is fluid-filled and can be drained if necessary.

ByHealthwise Staff

Primary Medical ReviewerSarah Marshall, MD - Family Medicine

Kathleen Romito, MD - Family Medicine

Specialist Medical ReviewerLaura S. Dominici, MD - General Surgery,

Current as ofMay 3, 2017

Current as of: May 3, 2017

Author: Healthwise Staff

Medical Review: Sarah Marshall, MD - Family Medicine & Kathleen Romito, MD - Family Medicine & Laura S. Dominici, MD - General Surgery,