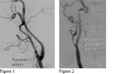
Angiogram of the carotid artery

Angiograms of a normal neck artery and a neck artery narrowed by plaque

Courtesy of Intermountain Medical Imaging, Boise, Idaho.

Figure 1 shows an angiogram (a type of X-ray) of a normal neck artery (carotid artery) with smooth walls. Figure 2 shows a narrowed carotid artery with ulcerated plaque (the surface of the plaque is irregular and broken) that is the source of clots. If clots travel to the brain and block blood flow, they can cause a TIA or stroke.

ByHealthwise Staff

Primary Medical ReviewerE. Gregory Thompson, MD - Internal Medicine

Adam Husney, MD - Family Medicine

Martin J. Gabica, MD - Family Medicine

Specialist Medical ReviewerHoward Schaff, MD - Diagnostic Radiology

Current as ofMarch 20, 2017

Current as of: March 20, 2017

Author: Healthwise Staff

Medical Review: E. Gregory Thompson, MD - Internal Medicine & Adam Husney, MD - Family Medicine & Martin J. Gabica, MD - Family Medicine & Howard Schaff, MD - Diagnostic Radiology