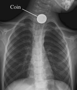
Chest X-Ray of a Swallowed Object

X-ray of swallowed object

Courtesy of Intermountain Medical Imaging, Boise, Idaho. All rights reserved.

Front view of a child's chest X-ray shows a swallowed coin.

ByHealthwise Staff

Primary Medical ReviewerWilliam H. Blahd, Jr., MD, FACEP - Emergency Medicine

Current as ofMarch 20, 2017

Current as of: March 20, 2017

Author: Healthwise Staff

Medical Review: William H. Blahd, Jr., MD, FACEP - Emergency Medicine