Seizure MRI

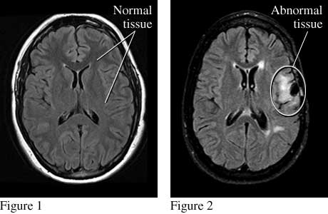
Images of normal brain tissue and abnormal brain tissue that causes seizures

Courtesy of Intermountain Medical Imaging, Boise, Idaho. All rights reserved.

Top views of the brain show normal tissue (see figure 1) and abnormal tissue (from an injury) that causes seizures (see figure 2).

ByHealthwise Staff

Primary Medical ReviewerJohn Pope, MD - Pediatrics

Specialist Medical ReviewerSteven C. Schachter, MD - Neurology

Current as ofOctober 14, 2016

Current as of: October 14, 2016

Author: Healthwise Staff

Medical Review: John Pope, MD - Pediatrics & Steven C. Schachter, MD - Neurology