Breast Ultrasound

Skip to the navigation

Test Overview

A breast ultrasound uses sound waves to make a picture of the tissues inside the breast. A breast ultrasound can show all areas of the breast, including the area closest to the chest wall, which is hard to study with a mammogram. Breast ultrasound does not use X-rays or other potentially harmful types of radiation.

A breast ultrasound is used to see whether a breast lump is filled with fluid (a cyst) or if it is a solid lump. An ultrasound does not replace the need for a mammogram, but it is often used to check abnormal results from a mammogram.

For a breast ultrasound, a small handheld unit called a transducer is gently passed back and forth over the breast. A computer turns the sound waves into a picture on a TV screen. The picture is called a sonogram or ultrasound scan.

Why It Is Done

Breast ultrasound can add important information to the results of other tests, such as a mammogram or magnetic resonance imaging (MRI). It also may provide information that is not found with a mammogram. A breast ultrasound may be done to:

  • Find the cause of breast symptoms, such as pain, swelling, and redness.
  • Check a breast lump found on breast self-examination or physical examination. It is used to see whether a breast lump is fluid-filled (a cyst) or if it is a solid lump. A lump that has no fluid or that has fluid with floating particles may need more tests.
  • Check abnormal results from a mammogram.
  • Look at the breasts in younger women because their breast tissue is often more dense, and a mammogram may not show as much detail.
  • Guide the placement of a needle or other tube to drain a collection of fluid (cyst) or pus (abscess), take a sample of breast tissue (biopsy), or guide breast surgery.
  • Watch for changes in the size of a cyst or a noncancerous lump (fibroadenoma).
  • See how far cancer has spread in a breast.
  • Check your breasts if you have silicone breast implants or dense breasts. In these situations, a mammogram may not be able to see breast lumps.

How To Prepare

Wear a two-piece outfit so that it is easy to undress above the waist.

Talk to your doctor about any concerns you have regarding the need for the test, its risks, how it will be done, or what the results will mean. To help you understand the importance of this test, fill out the medical test information form(What is a PDF document?).

How It Is Done

A breast ultrasound is usually done by a specially trained technologist.

You will be asked to undress above the waist. You will be given a gown to drape around your shoulders. Remove all jewelry from around your neck.

Gel will be put on your breast so the transducer can pick up the sound waves as it is moved back and forth over the breast. A picture of the breast tissue can be seen on a TV screen.

A breast ultrasound test usually takes between 15 and 30 minutes. More time may be needed if a breast exam will be done or if a biopsy is also planned. You may be asked to wait until a radiologist has reviewed the pictures. The radiologist may want to do more ultrasound views of some areas of your breast.

How It Feels

The gel may feel cold when it is put on your breast. You will feel light pressure from the transducer as it passes over your breast, but you should feel no discomfort unless your breast is tender because of fibrocystic breast changes, an abscess, or another infection. You will not hear the sound waves. A special Doppler ultrasound may be used to check the blood flow to the breast; you can hear the sound waves from this type of ultrasound.

Risks

There are no known risks in having a breast ultrasound test.

Results

A breast ultrasound uses sound waves to make of picture of the tissues inside of the breast.

The radiologist may discuss the results of the ultrasound with you right after the test. Complete results are usually available to your doctor in 1 to 2 days.

Breast ultrasound
Normal:
The breast tissue looks normal. If the test is done on both breasts, the tissue looks similar.
Abnormal:
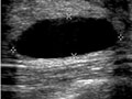
A fluid-filled sac (cyst) is present. A fluid-filled lump that is evenly shaped and has no particles floating in it is likely to be a simple cyst. This may not need more tests. See an ultrasound image of a simple breast cyst.
A cyst is found that has particles in it (a complex cyst). This may need more tests.
A lump is found that looks solid. Depending on the lump, your age, and other medical factors, you may need a biopsy or follow-up with other tests.

What Affects the Test

You may not be able to have the test or the results may not be helpful if you have an open wound in the breast area.

What To Think About

  • An ultrasound-guided breast biopsy may allow your doctor to confirm a suspicious lump is not cancer (benign) without surgery.
  • A breast ultrasound may occasionally be used instead of a mammogram if you are younger than 30 and have concerns about X-rays or should not be exposed to any radiation because you are pregnant. To learn more, see the topic Mammogram.
  • A breast ultrasound may be useful for screening young women with a family history of breast cancer. More study is needed to see if ultrasound is good for this purpose.
  • An ultrasound does not replace a mammogram. An ultrasound can be used to check a problem seen on a mammogram. It can also be used to show more detail in women who have dense breasts.
  • A breast MRI is another type of test that may be used for breast exams after surgery or to check dense breast tissue. Breast MRI may be used along with a mammogram and breast ultrasound to check breasts or breast lumps.

References

Other Works Consulted

  • Fischbach FT, Dunning MB III, eds. (2009). Manual of Laboratory and Diagnostic Tests, 8th ed. Philadelphia: Lippincott Williams and Wilkins.
  • Pagana KD, Pagana TJ (2010). Mosby's Manual of Diagnostic and Laboratory Tests, 4th ed. St. Louis: Mosby.

Credits

ByHealthwise Staff

Primary Medical ReviewerSarah Marshall, MD - Family Medicine

Specialist Medical ReviewerLaura S. Dominici, MD - General Surgery,

Current as ofMay 3, 2017